Write us a message.
We will get back to you as soon as possible.
  • This field is hidden when viewing the form
  • This field is hidden when viewing the form
  • This field is hidden when viewing the form
  • This field is hidden when viewing the form
  • This field is hidden when viewing the form
  • This field is hidden when viewing the form
Thanks for contacting us!

We will get in touch with you shortly.

Ortho-Restorative Architecture: Why Perfection Needs a Foundation Before Refinement

In our recent contribution to the international standard work of dentistry (Quintessence Publishing), we describe a philosophy that is revolutionizing modern dentistry and one we practice daily: Ortho-Restorative Care. For our patients from the Upper Rhine region and Switzerland, this means we plan your smile not just for aesthetics, but on a sound architectural foundation.
Dr. Nicole Horvath und Dr. Sebastian Horvath im Beratungsgespräch mit einem Patienten zum Digital Smile Design; gemeinsam betrachten sie die digitale Behandlungsplanung am Bildschirm.

Many patients visit us wanting veneers to correct discoloration or wear. However, true aesthetics cannot simply be “applied.” They must be architecturally planned.

The Foundation: Alignment Before Reconstruction

Often, the underlying cause of worn teeth is a malocclusion, where the teeth collide with every bite. If veneers were applied immediately, the risk of fractures or recurring wear would be extremely high.

  • Treating the Cause: We first correct the tooth position, usually discreetly with aligners (Invisalign).
  • Functional Harmony: We create the necessary space so the final reconstructions sit stably and without abnormal loading in the jaw.
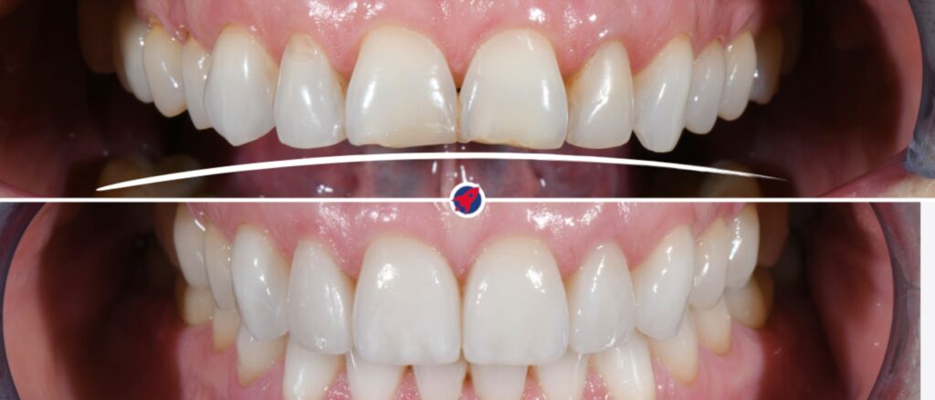
Vorher-Nachher-Vergleich einer Zahnrekonstruktion: Oben deutlich abgenutzte Zähne vor der Behandlung – unten das ästhetische Ergebnis nach einer erfolgreichen Korrektur mit Invisalign und Veneers.
Case Study:Before-and-after treatment of a malocclusion using Invisalign and six veneers to correct the smile line and restore the anterior teeth.

Biological Sustainability through “Scientific Precision”

The greatest advantage of orthodontic pre-treatment is the protection of your natural tooth structure.

  • Minimally Invasive: When teeth are in the ideal position beforehand, we often need to remove little to no healthy tooth structure for the final veneers.
  • Maximum Preservation: We only refine what nature no longer provides perfectly, rather than aggressively preparing the tooth for a crown.

The Refinement: High-End Adhesive Technology

Only when the foundation is sound does the restorative phase begin. Here, we utilize state-of-the-art adhesive procedures to permanently bond ultra-thin, handcrafted ceramic shells (veneers) to the enamel.

  • Natural Light Dynamics: Through precise preparation, the veneers integrate seamlessly into the facial harmony planned in advance using Digital Smile Design.
  • Longevity: A smile built this way is not a short-term “cover-up” but a medically sound total rehabilitation designed to last for decades.

For You in the Practice: Our “Scientific Precision” Workflow in 3 Steps

  1. Digital Analysis & Virtual Twin: Using the RayFace facial scan and Digital Smile Design, we create an exact 3D simulation of your face. Before treatment begins, we see how the teeth must be positioned to perfectly complement your lips and facial expressions.
  2. Orthodontic Positioning (Alignment): Using state-of-the-art aligner therapy (e.g., Invisalign), we move the teeth into their ideal functional position. This creates the “biological freedom” required for a permanent refinement.
  3. Micro-invasive Refinement (Restoration Phase): Only once the statics are correct do we apply the ultra-thin ceramic veneers. Thanks to the preparation, often very little or no healthy tooth structure needs to be removed; we work purely additively and preserve the enamel.

FAQ: Your Questions About Ortho-Restorative Care

“Does the treatment take much longer because of this?” 

Through our digital in-house workflows, we can interlink the phases extremely efficiently. Often, just a few months of aligner therapy are sufficient to create the biological requirements for perfect veneers.

“Why can’t I just get veneers directly?” 

When teeth are too crowded or “tipped,” a significant amount of healthy tooth structure would have to be ground down to achieve a straight result. Our goal is maximum tooth preservation. Alignment is what makes ultra-thin refinement possible.

“Is the result more stable?” 

Yes. Because we correct the cause of the wear (the malocclusion) beforehand, we prevent the new ceramic shells from breaking or being damaged by abnormal loading.

Dr. Nicole Horvath und Dr. Sebastian Horvath bei der digitalen Ästhetik-Beratung einer Patientin am großen Bildschirm in der Zahnarztpraxis

Your Investment in a Lifelong Smile

Ortho-Restorative Care is not a trend, but a scientifically proven strategy for sustainability. In our practice in Jestetten, we combine expertise in orthodontics and prosthetics under one roof.

Learn more about this exclusive treatment method. We cordially invite you to a digital 3D analysis, directly on the border to Schaffhausen and only 30 minutes from Zurich.

Ortho-Restorative Architecture: Why Perfection Needs a Foundation Before Refinement
Ortho-Restorative Architecture: Why Perfection Needs a Foundation Before Refinement

Book a consultation now.

Written by:
Picture of Dr. Sebastian Horvath <span>Specialist Dentist for Prosthodontics (DGPro)</span>

Dr. Sebastian Horvath Specialist Dentist for Prosthodontics (DGPro)

Dr. Sebastian Horvath represents the next generation of dentistry. In his work, he combines technical excellence with the highest aesthetic standards and shapes modern dentistry through his dedicated research and teaching.

Written by:
Picture of Dr. Nicole Horvath <span>Specialist in Orthodontics</span>

Dr. Nicole Horvath Specialist in Orthodontics

As a specialist in modern orthodontics, Dr. Nicole Horvath stands for holistic treatment concepts based on the latest scientific findings. Her aim is not only to create a perfect smile, but also to ensure the long-term health and function of the jaw and teeth.

Share article:

Latest news

Dr. Nicole Horvath und Dr. Sebastian Horvath im Videocall mit einer Patientin – moderne digitale Patientenberatung in der Zahnarztpraxis Dr. Horvath
Time is Luxury: How Asynchronous Video Updates Relax Your Dental Rehabilitation

Contact Us

Thank you for your interest. Write us a message and we will get back to you bindingly and promptly.
  • This field is hidden when viewing the form
  • This field is hidden when viewing the form
  • This field is hidden when viewing the form
  • This field is hidden when viewing the form
  • This field is hidden when viewing the form
  • This field is hidden when viewing the form
Willkommen. Unsere Webseite gibt es auch auf Deutsch. Klicken Sie hier um die Sprache zu wechseln: