Write us a message.
We will get back to you as soon as possible.
  • This field is hidden when viewing the form
  • This field is hidden when viewing the form
  • This field is hidden when viewing the form
  • This field is hidden when viewing the form
  • This field is hidden when viewing the form
  • This field is hidden when viewing the form
Thanks for contacting us!

We will get in touch with you shortly.

Retention After Braces: How Teeth Stay Straight for a Lifetime

The day your fixed braces are removed or your final aligner tray is finished is a moment of celebration. You have achieved your goal: a radiant, straight smile. However, many patients are surprised when we explain that the most critical phase is only just beginning. This phase is called retention. Without it, the effort and investment could be lost. At Dr. Horvath’s practice in Jestetten, we do not leave this phase to chance. Using "Scientific Precision" and state-of-the-art robotics, we ensure that your new smile stays exactly where it belongs, for a lifetime.
Dr. Nicole Horvath steht in einer Praxis und erklärt den Prozess der Retention in der Kieferorthopädie.

Why do teeth move back? The biodynamic memory

It is a common misconception that teeth are permanently “set in stone” in the jawbone after orthodontic treatment. Teeth are dynamic; they are suspended in the bone by elastic fibers called the periodontal ligament.

During treatment with brackets or Invisalign, these fibers were stretched and compressed to move the teeth into their new positions. After treatment, these fibers tend to pull back toward their original shape, much like a stretched rubber band. This phenomenon is known as relapse.

The lower front teeth are particularly susceptible to shifting back into a crowded position. To counteract this natural “memory” of the teeth, reliable retention (holding) is essential.

The Solution: Double Protection for Your Smile

In our practice in Jestetten, we utilize a proven safety concept that typically consists of two components: the fixed lingual retainer and removable splints.

The Fixed Lingual Retainer (The Invisible Guardian)

This is the gold standard of retention. A thin, custom-contoured wire is bonded to the inside of the front teeth (usually from canine to canine).

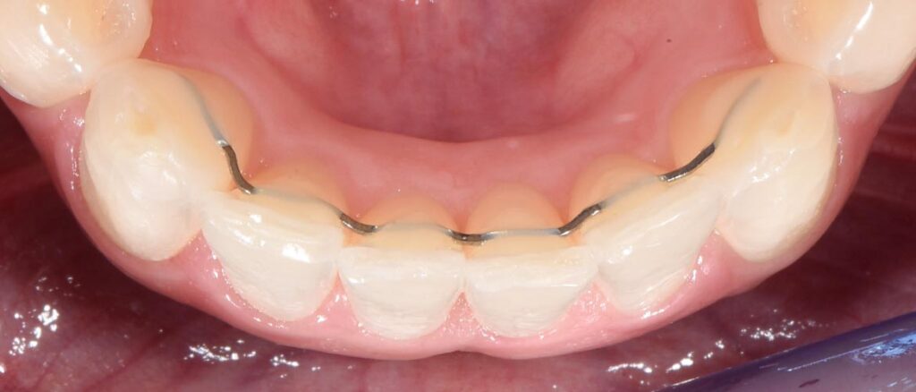
Präziser fester Retainer an der Unterkiefer-Front, hergestellt durch unseren innovativen Biegeroboter für maximale Passgenauigkeit
Successful resolution of frontal crowding in the lower jaw using Invisalign. The result shown is stabilized in the long term by a fixed lingual retainer.

The Advantages:

  • Invisible: It cannot be seen from the outside.
  • Permanent: It works 24 hours a day without you having to think about it.
  • Comfortable: After a short adjustment period, you will hardly notice it anymore.

Removable Retainers (Vivera® or Retention Plates)

For added security, as a “backup” for nighttime use, many patients also receive removable clear splints. These resemble Invisalign aligners but are made of a sturdier material designed to hold the final position rather than move teeth.

Patientin beim Einsetzen einer transparenten Invisalign-Zahnschiene zur unauffälligen Zahnkorrektu

The Dr. Horvath High-Tech Plus: Our Own Bending Robot

This is where “Scientific Precision” distinguishes itself from standard solutions. A retainer wire must rest absolutely passively against the teeth. If the wire is under tension, it can trigger unwanted tooth movements or become loose more easily.

While many practices still bend these wires by hand, we go one step further: In most cases, we manufacture our fixed retainers in-house using our own high-precision bending robot.

  • Digital Precision: Based on the final 3D scan of your teeth, the robot bends the wire with micrometer precision.
  • Absolute Passivity: The wire rests tension-free against each individual tooth. It only holds; it does not push.
  • Maximum Comfort: Due to the perfect fit, the retainer is extremely low-profile and causes minimal irritation to the tongue.
  • Longevity: A perfectly fitted wire is less likely to detach than a hand-bent wire under tension.
High-Tech in unserer Praxis: Biegeroboter bei der Herstellung eines individuellen Fixed Retainers

FAQ: Frequently Asked Questions about Retention

“How long must the retainer stay in?” 

Our honest answer: For as long as you want straight teeth. We recommend “lifetime” retention. Since teeth naturally shift as we age, the retainer is your insurance for a permanent result.

“Does the wire interfere with eating or speaking?” 

In the first few days, your tongue will notice the “new roommate.” However, most patients adjust extremely quickly. Within about a week, the retainer is no longer noticeable when speaking or eating.

“How do I clean my teeth with a fixed retainer?”

Good oral hygiene is essential. The wire can be a spot for tartar buildup. Flossing requires a special technique (Superfloss with a threadable end) or the use of interdental brushes. We will show you the correct technique during placement.

“What happens if the wire comes loose?” 

If a bonding point breaks or the wire feels loose, please schedule an appointment immediately. Do not wait for weeks, as teeth can shift back surprisingly quickly.

Conclusion: Protecting Your Investment

Orthodontic treatment was an investment in your aesthetics and health. Retention is the insurance policy that protects that investment. Thanks to our robot-assisted precision, this insurance is now more comfortable and secure than ever before.

Do you have questions about your completed treatment, or are you interested in tooth correction with a lifetime guarantee of straightness? Schedule your consultation at Dr. Horvath in Jestetten today.

Retention After Braces: How Teeth Stay Straight for a Lifetime
Retention After Braces: How Teeth Stay Straight for a Lifetime

Book a consultation now.

Written by:
Picture of Dr. Sebastian Horvath <span>Specialist Dentist for Prosthodontics (DGPro)</span>

Dr. Sebastian Horvath Specialist Dentist for Prosthodontics (DGPro)

Dr. Sebastian Horvath represents the next generation of dentistry. In his work, he combines technical excellence with the highest aesthetic standards and shapes modern dentistry through his dedicated research and teaching.

Written by:
Picture of Dr. Nicole Horvath <span>Specialist in Orthodontics</span>

Dr. Nicole Horvath Specialist in Orthodontics

As a specialist in modern orthodontics, Dr. Nicole Horvath stands for holistic treatment concepts based on the latest scientific findings. Her aim is not only to create a perfect smile, but also to ensure the long-term health and function of the jaw and teeth.

Share article:

Latest news

Dr. Nicole Horvath und Dr. Sebastian Horvath im Beratungsgespräch mit einem Patienten zum Digital Smile Design; gemeinsam betrachten sie die digitale Behandlungsplanung am Bildschirm.
Ortho-Restorative Architecture: Why Perfection Needs a Foundation Before Refinement

Contact Us

Thank you for your interest. Write us a message and we will get back to you bindingly and promptly.
  • This field is hidden when viewing the form
  • This field is hidden when viewing the form
  • This field is hidden when viewing the form
  • This field is hidden when viewing the form
  • This field is hidden when viewing the form
  • This field is hidden when viewing the form
Willkommen. Unsere Webseite gibt es auch auf Deutsch. Klicken Sie hier um die Sprache zu wechseln: